年仅 2岁11个月 的恺恺(化名)全口20颗乳牙竟蛀坏了18颗上前牙有5颗牙齿仅剩残根8颗大牙严重龋坏,常出现牙疼症状

近日,海南天成口腔医院(海南口腔医院)儿童口腔医学中心联合舒适化治疗中心医护团队,为恺恺实施了门诊全麻下口腔治疗,恺恺的牙齿问题一次性处理好。
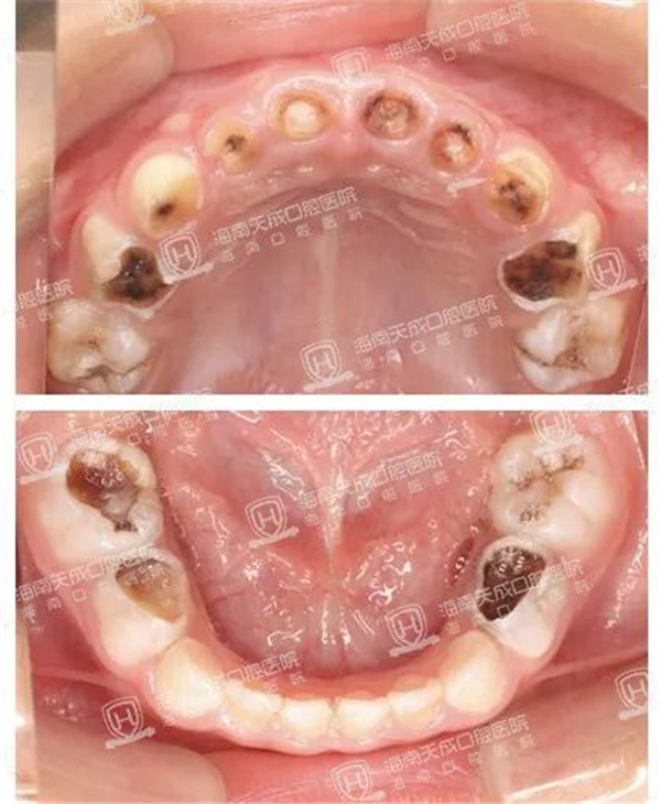
01小小年纪为何满口“烂牙”?
据恺恺妈妈介绍,孩子牙齿萌出较早,近2岁时20颗乳牙就已全部长齐。加之孩子有喝夜奶的习惯,喝完奶后也不刷牙,久而久之牙齿便逐渐蛀坏。恺恺家人认为,孩子乳牙蛀了没关系,反正会换新牙,就这样一直没有重视。直到孩子最近喊牙疼,这才赶紧带孩子到医院就诊。
海南天成口腔医院(海南口腔医院)儿童口腔医学中心韩啸医生接诊后表示,恺恺的口腔情况不容乐观:
全口20颗乳牙有18颗牙齿存在不同程度的龋坏(蛀牙),另外2颗牙齿表面也出现脱矿(蛀牙的前期阶段)。其中,上前牙有5颗牙齿仅剩残根,8颗大牙严重龋坏,多颗牙齿已露髓(牙神经),出现自发牙疼症状。
若不及时干预,不仅会影响孩子的咀嚼功能,还可能对后续恒牙的萌出和颌面部的正常发育造成不良影响。

▲韩啸医生(右一)为患儿诊疗(资料图)
02孩子“睡一觉”起来,牙看好了
由于恺恺年龄小、配合度差,加之口腔问题较多,常规治疗难以进行。韩啸医生与家属充分沟通后,建议采用门诊全麻下口腔治疗,可一次性完成所有治疗,既避免了反复就诊的折腾,也减少孩子对看牙的恐惧心理。
经过术前的相关检查和评估,3月23日上午,舒适化治疗中心主任、副主任麻醉医师王世新为恺恺实施全身麻醉并全程监护生命体征,韩啸医生与符婷婷医生共同为恺恺实施口腔治疗,经过两个半小时的精心操作,恺恺的全口牙齿问题终于一次性处理好。
术后,恺恺被送回了日间门诊病房观察,当天下午,排除无不良反应后,顺利出院。
03医生提醒:别让“夜奶”毁了孩子的牙
韩啸医生提醒广大家长,乳牙蛀牙是儿童常见的口腔疾病,但往往容易被忽视。许多家长认为“乳牙反正要换,蛀了没关系”,这种观念是错误的。乳牙蛀牙不仅会引起疼痛,影响孩子进食和营养摄入,还可能影响恒牙的萌出和排列,甚至影响孩子的面部发育和发音功能。
她还特别提醒,喝夜奶却不清洁口腔,这是导致婴幼儿蛀牙的重要诱因之一。无论是母乳还是配方奶,夜间长时间停留在口腔中,都容易滋生细菌,增加患蛀牙风险。建议家长在孩子一岁后逐步戒除夜奶,并在每次喂奶后帮助孩子清洁口腔。孩子长牙后,应坚持每天早晚刷牙,定期带儿童进行口腔检查,发现问题早干预、早治疗。
04关于全麻下口腔治疗
针对低龄、恐惧、配合度差或多颗牙需要治疗的孩子,门诊全麻下口腔治疗是一项成熟的口腔临床技术。儿童全麻下口腔治疗由麻醉医师及口腔医师共同完成。术前会由麻醉医师为患儿进行评估,并进行相关的术前检查,术中由麻醉医生全程监护患儿生命体征。

在全麻状态下,医生可以更准确、高效地完成治疗,避免因孩子哭闹挣扎带来的误吸、误吞以及意外损伤等操作风险。对于合并口腔问题多的患儿,能一次性妥善处理全口问题,避免了反复就诊的折腾,也减少孩子对看牙的恐惧心理。
儿童门诊全麻下口腔治疗主要适用于:
·牙齿蛀牙数目多、合并口腔问题多的儿童;·极度恐惧、无法配合治疗的儿童;·复杂牙外伤的低龄儿童;·自闭症或是智力存在一定缺陷的特殊儿童。

