很多人一发现牙齿松动
第一反应就是“拔牙”
但海南天成口腔医院(海南口腔医院)牙周粘膜科主任许颖指出:牙齿松动不一定非拔不可。及时检查治疗,符合条件的松动牙是可以保住的。
58岁的黎女士因慢性牙周炎,下前牙4颗牙齿严重松动,吃饭都使不上劲,生活质量大受影响。她慕名来到我院牙周黏膜科就诊,被诊断为“重度牙周炎”(慢性牙周炎Ⅳ期C级)。该科主任许颖为她量身定制了序列牙周治疗方案。经过两次牙周基础治疗后,炎症得到控制,牙齿松动情况改善。随后,许颖主任采用超级粘接剂将4颗松动牙固定起来,配合定期复查和维护治疗,顺利保住了牙齿,恢复了咀嚼功能。
52岁的卫先生同样因慢性牙周炎,右下3颗牙齿出现红肿、溢脓、松动、牙龈萎缩和牙槽骨吸收,被诊断为“重度牙周炎”(慢性牙周炎Ⅳ期C级)。许颖主任为他制定了系统的序列牙周治疗方案。在数次牙周基础治疗控制炎症后,进一步实施了牙周手术治疗(牙周翻瓣术+GBR手术[引导骨再生术]+CGF膜[浓缩生长因子膜])。术后,再通过纤维带对松动牙进行固定。经过系列治疗,卫先生的牙齿得以保住,咀嚼功能恢复。
牙齿为什么会松动?
许颖主任指出,牙周炎是导致牙齿松动的主要原因。
牙齿能稳固长在口腔里,全靠牙龈、牙周膜、牙槽骨、牙骨质等周围组织支撑,这些组织统称 “牙周组织”。而牙周炎是由致病菌引起的慢性感染性疾病,会慢慢破坏这些支撑组织,使牙龈逐渐萎缩、牙槽骨吸收,进而导致牙齿松动、甚至脱落。
更需要警惕的是,牙周炎早期症状不明显,很容易被忽略。
(1)早期信号(牙龈炎阶段):表现为牙龈红肿、刷牙出血、牙石、口臭等。
(2)中晚期信号(牙周炎形成):
· 牙龈退缩:感觉牙齿“变长了”,牙根暴露,遇到冷热酸甜会敏感。
· 牙周袋形成、溢脓:牙龈与牙齿分离形成“口袋”,挤压时可能有脓液溢出。
· 咬合无力: 吃东西牙齿用不上劲。
· 牙齿松动、移位,严重甚至脱落。
因此,当出现以上症状时,建议及时就医。
牙齿松动该如何解决?
许颖主任强调,处理牙齿松动,核心原则是:对症治疗,保牙为先。 常见的有以下几种方法:
· 牙周基础治疗:针对牙周炎,首先进行系统的洗牙、龈下刮治和根面平整,去除病因(菌斑和结石),让炎症消退,为牙齿稳固创造健康的“土壤”。
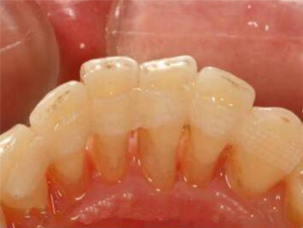
· 松牙固定术:如上述案例中所示,对于仍有保留价值的松动牙,医生会像给牙齿“打夹板”一样,通过粘接剂、纤维带、无挂钩覆盖义齿等方式,将松动的牙齿与旁边健康的牙齿连接在一起,分散力量,帮助其恢复稳固。

▲超强纤维带固定
· 牙周手术治疗:当牙周炎比较严重,牙槽骨出现明显缺损时,可能需要进行牙周翻瓣术、植骨术(GBR)等,重建牙周组织,让牙齿获得新的支持。
· 调整咬合:如果有夜磨牙或咬合创伤的情况,需要佩戴颌垫或进行调颌,让牙齿免受异常的咬合力伤害。
具体需由医生检查后,结合个人情况制定个性化的治疗方案。
如何预防牙齿松动?
· 正确刷牙,用好牙线:每天早晚正确刷牙,并配合使用牙线(牙缝大的可使用牙缝刷),清洁牙刷刷不到的“卫生死角”。
· 定期洗牙和口腔检查(非常重要!):建议每半年到一年进行一次洗牙和口腔检查。洗牙可以预防牙周炎,而定期检查能早发现、早治疗,避免发展到牙齿松动的地步。
· 戒烟:吸烟是牙周炎的重要“帮凶”,会加速牙周炎的发展,加速牙槽骨的破坏和吸收。
· 发现异常,及时就医:一旦发现牙龈红肿、刷牙出血、牙齿有松动迹象,不要拖延,请立即咨询专业的牙周科医生。
每一颗天然牙都弥足珍贵
当它出现松动等异常时
请不要轻易选择放弃
尽早咨询牙周粘膜科医生
采用科学的方法
尽全力留住您的天然牙!

